Кариес поражает зубы более 80% россиян к 30 годам, согласно данным Минздрава РФ, и часто остается незамеченным на начальных этапах. Многие игнорируют первые признаки, надеясь, что проблема пройдет сама, но это приводит к цепной реакции разрушений. Если вы заметили темные пятна или чувствительность зубов, важно провести своевременно лечение кариеса , чтобы избежать тяжелых последствий. В этой статье мы подробно разберем, почему нельзя откладывать визит к стоматологу и какие опасности подстерегают при запущенном состоянии.
Кариес начинается как небольшое обесцвечивание эмали, вызванное бактериями, которые разрушают минеральный слой под действием кислот из пищи. В России, где средний рацион включает много сладкого и углеводов, эта проблема особенно актуальна. По статистике Федерального регистра медицинских организаций, ежегодно фиксируется рост случаев поверхностного кариеса на 5-7%, но лишь половина пациентов обращается вовремя. Игнорирование приводит к прогрессу: эмаль истончается, дентин обнажается, и процесс ускоряется.
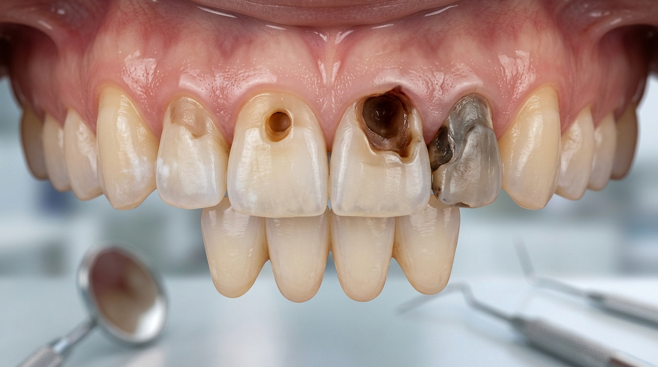
Иллюстрация стадий кариеса: от белого пятна до глубокого разрушения эмали и дентина.
На начальной стадии кариес затрагивает только эмаль и не вызывает боли, что создает иллюзию безопасности. Однако бактерии продолжают размножаться, проникая глубже. В российских реалиях, где доступ к бесплатной стоматологии по ОМС ограничен очередями, многие предпочитают домашние средства вроде ополаскивателей или паст с фтором. Это замедляет, но не останавливает процесс. Без профессионального вмешательства кариес переходит в среднюю стадию, когда появляется дискомфорт от горячего или холодного.
Кариес не просто портит улыбку — он запускает инфекционный процесс, способный распространиться за пределы зуба.
Первый основной раздел статьи посвящен механизму развития нелеченого кариеса и его ближайшим осложнениям. Давайте разберем, как поверхностное поражение превращается в серьезную угрозу. Ключевой фактор — деминерализация тканей под влиянием Streptococcus mutans и других бактерий, обитающих в зубном налете. В России, по рекомендациям Роспотребнадзора, ежедневная чистка и зубная нить обязательны, но недостаточны без регулярных осмотров дважды в год.
В этой статье:
Как развивается кариес и почему он прогрессирует без лечения
Развитие кариеса делится на четыре стадии, каждая из которых увеличивает риски. На нулевой стадии — белое пятно — минералы еще восстанавливаются реминерализующими пастами вроде российских Сплат или President. Но если игнорировать, эмаль разрушается за 6-12 месяцев. Средняя стадия затрагивает дентин, где боль становится постоянной. Глубокий кариес приближается к пульпе, и здесь начинаются настоящие осложнения.
- Поверхностный кариес: разрушение до 1/3 эмали, минимальная боль.
- Средний: поражение дентина, чувствительность к температурам.
- Глубокий: близко к нервам, риск воспаления пульпы.
- Острый: быстрая деструкция, часто у детей и молодых.
В российских клиниках, таких как сети Дента-Люкс или государственные поликлиники, используют современные методы диагностики — лазерную флуоресценцию или интраоральные сканеры. Это позволяет выявить проблему на ранних этапах. Без этого кариес приводит к первым осложнениям: гиперестезии и потере структуры зуба.
«Запущенный кариес — это не косметический дефект, а инфекционный очаг, требующий немедленного вмешательства», — отмечают стоматологи Ассоциации частных клиник России.
Переход к пульпиту происходит, когда бактерии достигают нервов. Пульпит — воспаление внутренней ткани зуба — вызывает пульсирующую боль, не купируемую анальгетиками вроде Кеторола. В 2026 году в России пульпит диагностируют у 40% пациентов с кариесом, по данным Минздрава. Лечение требует удаления нерва и пломбирования каналов, что дороже и сложнее профилактики.
Рентген зуба с глубоким кариесом: видны изменения в пульпе и корне.
Далее следует периодонтит — воспаление тканей вокруг корня. Это уже системная проблема: инфекция выходит за зуб, вызывая отек десны и подвижность зуба. В тяжелых случаях формируется гранулема или киста, видимые на рентгене. Российские стандарты лечения по приказу № 910н предусматривают эндодонтию или удаление. Игнорирование приводит к потере зуба в 70% случаев.
| Стадия кариеса | Симптомы | Риски без лечения |
|---|---|---|
| Поверхностный | Белое пятно, отсутствие боли | Переход в средний за 3-6 месяцев |
| Средний | Чувствительность, темные пятна | Пульпит в 50% случаев |
| Глубокий | Боль ночью, от горячего | Периодонтит, абсцесс |
Эта таблица иллюстрирует прогрессию: от безобидного пятна к угрозе потери зуба. В России профилактика по программе Здоровье включает фторирование школьникам, но взрослым приходится полагаться на платные услуги.
Тяжелые локальные осложнения: от абсцесса до остеомиелита
Когда периодонтит прогрессирует, инфекция прорывается через корневую вершину, формируя абсцесс — гнойный очаг в десне или надкостнице. Симптомы включают резкую боль, отек щеки и повышение температуры. В России такие случаи часто встречаются в сельских районах из-за позднего обращения: по данным Росстата, до 25% госпитализаций в челюстно-лицевые отделения связаны с зубными абсцессами. Лечение требует дренирования гноя, антибиотиков вроде Амоксиклава и ревизии каналов.
Абсцесс зуба может привести к сепсису, если инфекция попадет в кровь, — это реальная угроза жизни.
Более редкое, но крайне опасное осложнение — остеомиелит челюсти. Бактерии проникают в кость, вызывая некроз и фистулы. В отечественной практике это диагностируют по КТ, назначая длительную терапию: от хирургической санации до гипербарической оксигенации в специализированных центрах Москвы и Санкт-Петербурга. Статистика ФГБУНМИЦ стоматологии показывает, что у 5-10% пациентов с запущенным периодонтитом развивается остеомиелит, особенно при иммунодефиците.
Признаки абсцесса: сильный отек и покраснение десны на фоне запущенного кариеса.
Другой локальный риск — перфорация корня или полости полости рта, когда кариес разрушает стенки зуба полностью. Это приводит к хроническому воспалению и необходимости имплантации. В российских клиниках популярны импланты Osstem или отечественные Митр, но цена от 30 тысяч рублей за зуб делает профилактику выгоднее.
- Абсцесс: гной, лихорадка, риск сепсиса.
- Остеомиелит: боль в челюсти, свищи, госпитализация.
- Перфорация: потеря зуба, протезирование.
- Флегмона: распространение на мягкие ткани лица.
«Остеомиелит челюсти — осложнение, которое в 80% случаев можно предотвратить своевременно пломбированием», — подчеркивают эксперты Российского стоматологического общества.
Системные последствия нелеченого кариеса для всего организма
Инфекция из зуба не ограничивается ртом: через кровь она распространяется, провоцируя сердечно-сосудистые заболевания. Исследования Института стоматологии им. Филатова подтверждают связь хронического периодонтита с эндокардитом и атеросклерозом. В России, где сердечные болезни лидируют в смертности, этот фактор недооценивают: до 30% пациентов с ИБС имеют очаги в полости рта.
Кариес повышает риск диабета 2 типа, нарушая микробиом. Бактерии вроде Porphyromonas gingivalis вызывают системное воспаление, повышая глюкозу. По данным Эндокринологического научного центра, у россиян с пародонтитом на 20% выше вероятность декомпенсации диабета.
Схема распространения инфекции из зубов в сердце и сосуды.
У беременных нелеченый кариес грозит преждевременными родами и низким весом ребенка. Минздрав РФ рекомендует осмотр на 12-14 неделе, но лишь 40% посещают стоматолога. У детей запущенный кариес приводит к аденоидам и отитам из-за анатомической близости.
Хроническая зубная инфекция удваивает риск пневмонии у пожилых, по данным ВОЗ и российских эпидемиологов.
Ревматоидный артрит и даже рак поджелудочной связывают с оральной микрофлорой. В 2026 году генетические тесты на бактерии вроде Fusobacterium предлагают в премиум-клиниках, помогая оценить риски.
Распространенность осложнений: влияние на сердце, диабет и суставы.
Эти связи подчеркивают: зубы — часть иммунитета. Регулярные визиты спасают не только улыбку.
Факторы риска, ускоряющие осложнения от кариеса в России
Не каждый случай кариеса приводит к катастрофе, но определенные условия ускоряют процесс. Главный фактор — плохая гигиена: по опросам ВЦИОМ, 35% россиян чистят зубы раз в день или реже. Накопление налета усиливает кислотную атаку, особенно после сладкого чая или газировки, популярных в быту.
Питание играет ключевую роль. В рационе большинства — избыток сахаров: статистика Росстата фиксирует потребление 80 кг в год на человека, что в 2 раза превышает норму ВОЗ. Кисломолочные продукты вроде кваса или йогуртов с добавками также провоцируют эрозию. В регионах с жесткой водой фтордефицит усугубляет деминерализацию.
Сухость во рту от лекарств вроде антигистаминных или гипотензивных — частая причина в пожилом возрасте, снижая защитный эффект слюны.
Курение удваивает риски: никотин сужает сосуды, замедляя регенерацию десен. Среди россиян-курильщиков кариес прогрессирует на 40% быстрее, по данным НИИ стоматологии. Алкоголь усугубляет, нарушая микрофлору.
Генетика и сопутствующие болезни влияют сильно. У пациентов с сухостью рта от СКВ или после химиотерапии кариес развивается молниеносно. В России, где диабет охватывает 7% населения, контроль глюкозы обязателен для профилактики.
- Проверить уровень сахара в крови ежегодно.
- Использовать реминерализующие пасты с кальцием и фосфатами.
- Избегать ночных перекусов.
- Посещать стоматолога каждые 6 месяцев.
Социальные факторы в России добавляют уязвимости: в отдаленных районах дефицит специалистов. ОМС покрывает базовое лечение, но оборудование устаревшее, что затягивает диагностику.
«В сельской местности осложнения от кариеса встречаются в 1,5 раза чаще из-за отсутствия профилактики», — констатируют в отчете Минздрава.
Признаки, по которым нельзя игнорировать проблему
Ранние сигналы часто маскируются под усталость или простуду. Постоянная чувствительность к сладкому указывает на дентин-кариес. Ночная боль — тревожный знак глубокого поражения. Отек десны без видимой причины требует срочного осмотра.
Темные бороздки на жевательных поверхностях или трещины на эмали — визуальные маркеры. Самодиагностика возможна с помощью окрашивающих таблеток, продающихся в аптеках вроде Ригла. Если зуб ноет при жевании, это сигнал периодонтита.
У детей молочные зубы разрушаются быстрее: бутылочный кариес от ночных кормлений поражает 60% малышей. Родителям стоит вводить чистку с года и ограничивать соки.
Самый опасный признак — гнилостный запах изо рта без пародонтита. Это признак некроза пульпы. Не ждите, пока боль станет невыносимой: антибиотики лишь маскируют, позволяя инфекции распространиться.
Боль, отдающая в ухо или висок, — признак перехода инфекции в надкостницу.
В домашних условиях облегчение дает полоскание Хлоргексидином или содой, но это временно. Лучше записаться на прием по телефону единой диспетчерской в вашем регионе.
Профилактика: как минимизировать риски в повседневной жизни
Основное правило — комплексная гигиена. Чистите зубы дважды в день пастой с 1450 ppm фтора, как рекомендуют российские протоколы. Используйте электрическую щетку Oral-B или Philips для лучшей очистки.
зубная нить и ирригатор обязательны для межзубных пространств. В России популярны ирригаторы Waterpik по цене от 5 тысяч рублей. Ополаскиватели с хлоргексидином — для дополнительной защиты.
Диета: сократите сахара, ешьте твердые овощи вроде моркови для естественной чистки. Жевательная резинка без сахара с ксилитом стимулирует слюну.
- Фторирование: гели или лаки в клинике раз в 6 месяцев.
- Сиалометрия для проверки слюны у риск-групп.
- Вакцинация от стрептококков в перспективе.
- Профессиональная чистка ультразвуком ежегодно.
Для детей — герметизация фиссур с композитами. Взрослым — ортодонтия для выравнивания, чтобы избежать скопления налета.
Профилактика окупается: лечение одного зуба стоит как 10 осмотров.
В России программы вроде Старт для школьников снижают заболеваемость на 15%. Участвуйте в них для бесплатной защиты.
Методы лечения на разных стадиях: от пломбы до хирургии
На эмалевой стадии кариес останавливают реминерализация: аппликации с 10% кальция фосфатом или фторидом натрия. В клиниках применяют ICON — инфильтрацию иконофилом, проникающим в поры без сверления. Метод идеален для эстетики, сохраняя зуб целиком.
При дентин-кариесе — препарирование и пломбирование. Современные композиты Filtek или Grandio светоотверждаемые, долговечны 10-15 лет. Лазерная обработка Er:YAG минимизирует боль, популярна в федеральных центрах.
Эндодонтия спасает 90% зубов с пульпитом, если своевременно.
В глубоких случаях удаляют пульпу, пломбируя каналы по методу System B с электроапекс-локатором. В России стандарт — машинная обработка Ni Ti-файлами для точности. После — фибр-пост и коронка из циркония.
При периодонтите — резекция верхушки корня с ретроградной пломбой MTA. Для множественных очагов — гемисекция или удаление. Импланты Nobel Biocare интегрируются в 98% случаев.
| Стадия кариеса | Метод лечения | Стоимость (руб., средняя по РФ) | Длительность | Эффективность |
|---|---|---|---|---|
| Эмалевая | реминерализация / ICON | 2000-5000 | 30 мин | 85-95% |
| Дентинная | Пломба композит | 3000-7000 | 1 час | 90-98% |
| Пульпит | Эндодонтия + пост | 8000-15000 | 1-2 визита | 92% |
| Периодонтит | Резекция / имплант | 15000-50000 | 2-3 визита | 88-95% |
| Абсцесс | Дренирование + антибиотики | 5000-12000 | Госпитализация | 95% |
Таблица иллюстрирует выбор: ранние стадии дешевле и проще. Осложнения требуют хирургии под местной анестезией Ультракаин. Послеоперационно — ибупрофен и хлоргексидин.
В педиатрии — серебрение для молочников или пульпотомия. Взрослым с бруксизмом — шины для защиты пломб.
Современные технологии 2026 года в борьбе с осложнениями
Цифровая стоматология меняет подход. 3D-сканирование внутриротовыми сканерами iTero позволяет моделировать каналы виртуально, снижая ошибки на 30%. CBCT-конусы для точной визуализации очагов.
AI-диагностика от Dental Monitoring анализирует фото, предсказывая прогресс кариеса. В России внедряют в сетях Первая помощь и Дента-Люкс. Биоматериалы: водородный пероксид в микропузырьках для стерилизации каналов.
PRF — плазма богатая фибрином из крови пациента ускоряет регенерацию кости после резекции.
Наноматериалы в пломбах с антибактериальным серебром предотвращают рецидивы. Лазеры фотодинамической терапии уничтожают биопленку без антибиотиков, минимизируя резистентность.
Генетика: тесты на предрасположенность к агрессивному кариесу по слюне. Персонализированные пасты с пробиотиками Streptococcus salivarius.
В 2026 телемедицина позволяет консультации по видео, с доставкой наборов для домашней реминерализация.
Когда обращаться срочно и что делать дома
Экстренные признаки: пульсирующая боль, лихорадка выше 38,5, затрудненное глотание. В таких случаях — к дежурному стоматологу или скорой. Дома приложите холод, прополощите Мирамистином.
Аптечная помощь: Кетанов от боли, Амоксиклав по назначению. Избегайте аспирина — риск кровотечения.
Не греть лицо: усиливает отек и распространение гноя.
После лечения соблюдайте режим: мягкая пища, без окрашивающих продуктов неделю. Контрольные снимки через месяц.
Экономика лечения: сколько стоит игнорировать кариес
Простая пломба обходится в 4 тысячи рублей, но запущенный периодонтит с имплантом — до 100 тысяч. По данным страховых компаний, средний россиянин тратит на стоматологию 25 тысяч в год при осложнениях. ОМС покрывает базовые процедуры, но эстетику и сложное лечение — за свой счет.
Профилактика выгоднее: ежегодная чистка — 3 тысячи, против 50 тысяч на протезирование. В регионах цены ниже: Москва — 8 тысяч за эндодонтию, Сибирь — 5 тысяч. Скидки в сетях вроде Кидс Дентал до 20% по акциям.
Инвестируйте в профилактику: один пропущенный осмотр удваивает затраты через год.
Страхование ДМС с стоматологией окупается: лимит до 100 тысяч. Государственные квоты на импланты для малоимущих.
Мифы и заблуждения, мешающие своевременно лечению
Миф первый: молочные зубы выпадут сами. Нет, инфекция переходит на постоянные. Второй: народные средства вроде прополиса лечат. Они снимают воспаление, но не удаляют кариозный очаг. Третий: пломбы держатся вечно. Композиты служат 7-10 лет, амальгама — 15.
Четвертый: боль прошла — проблема ушла. Абсцесс может клокотать бессимптомно. Пятый: фтор вреден. В норме укрепляет, передоз редок.
- Проверяйте состав пасты: 1000-1500 ppm для взрослых.
- Избегайте переизбытка из таблеток.
- Консультируйтесь с врачом.
Развенчание мифов снижает страх: 70% россиян откладывают визит из-за стереотипов.
Часто задаваемые вопросы
Можно ли вылечить кариес без бормашины?
Да, на начальных стадиях. Метод ICON использует гель, проникающий в микротрещины эмали, затвердевая под светом. Подходит для детей и эстетики передних зубов. Эффективность 87% по исследованиям. Для глубокого кариеса бормашина или лазер обязательны, чтобы удалить инфицированную ткань.
Что делать, если зуб разболелся ночью?
Приложите холодный компресс снаружи, прополощите теплым солевым раствором (чайная ложка соли на стакан). Примите ибупрофен 400 мг. Не грейте и не прикладывайте тепло — усилит отек. Утром срочно к стоматологу. Если температура или отек лица — вызывайте скорую.
- Избегайте твердой пищи.
- Не жуйте на больной стороне.
- Запишитесь онлайн на ближайший прием.
Сколько служит пломба от кариеса?
Композитные пломбы — 7-12 лет при правильном уходе. Факторы сокращают срок: бруксизм, кислотная диета, плохая гигиена. Амальгама держится дольше — до 15 лет, но менее эстетична. Проверяйте ежегодно, чтобы своевременно заменить.
Передается ли кариес от человека к человеку?
Прямо — нет, но бактерии Streptococcus mutans передаются через слюну: поцелуи, общие ложки, проба еды у детей. У родителей с кариесом риск у ребенка в 3 раза выше. Профилактика: отдельная посуда, чистка после еды.
Нужна ли антибиотикотерапия при осложнениях?
Только при абсцессе или остеомиелите: Амоксиклав 875 мг 2 раза в день 7 дней. Самолечение опасно — вызывает резистентность. При пульпите антибиотики не нужны, достаточно дренирования. Назначает врач после рентгена.
- Сдайте анализ на чувствительность.
- Соблюдайте курс полностью.
- Контролируйте аллергию.
Как предотвратить кариес у беременных?
Гормональные изменения повышают риск в 2 раза. Чистите мягкой щеткой с фтором, жуйте ксилитовую резинку. Посещайте стоматолога во втором триместре. Безопасны УЗЧ и пломбы. Избегайте рентгена без необходимости, используйте защитный фартук.
Подведем итоги
Кариес — прогрессирующее заболевание от эмалевой стадии до абсцесса, приводящее к потере зубов, если игнорировать. Статья разобрала симптомы, диагностику, методы лечения на всех этапах, от реминерализация до хирургии, с таблицами и технологиями 2026 года. Профилактика, своевременно визиты и мифы — ключ к сохранению улыбки без переплат.
Финальные советы: чистите зубы дважды в день фторсодержащей пастой, используйте нить и ополаскиватель, посещайте стоматолога раз в полгода. При первых признаках боли или пятен — запишитесь немедленно, выбирайте клиники с CBCT и лазерами. Не откладывайте: здоровая улыбка повышает уверенность и экономит тысячи.
Действуйте сегодня! Запишитесь на осмотр по телефону или онлайн — один визит предотвратит осложнения и вернет комфорт. Ваша улыбка стоит этого!









